Implantes

Servicio

Implantes

¿Qué son los Implantes Dentales?

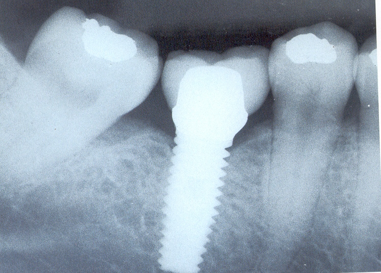
Son estructuras de titanio de formas similares a las raíces de los dientes naturales, que son colocadas en los huesos de los maxilares. Una vez que los implantes se han integrado al organismo mediante un proceso natural por el cuál el titanio y el hueso se unen, y es llamado “óseointegración”. Posteriormente a estas estructuras se les atornilla la parte del diente o dientes que se substituyen, remplazando naturalmente al diente en función y estética. Este procedimiento en el mayor de los casos es realizado SIN dolor.

Los implantes dentales han hecho posible dar naturalidad, función, estabilidad protésica, sonrisas confiables y naturales con un alto grado de éxito.

Los Implantes Dentales son la más avanzada técnica disponible para reponer los dientes faltantes. Además de verse y sentirse como dientes naturales le permiten al paciente:

Tener una mejor sonrisa.

Comer lo que le guste.

Buena masticación y por consecuencia una buena digestión.

Hablar con total facilidad.

Restaurar la estructura facial.

Disfrutar de mejor calidad de vida.

Vivir y sonreír con confianza.

Recuperar su nivel de confianza y de auto-estima.

En resumen, VIVIR MEJOR.

Implantes
Implantes
Implantes